Занимательная биология - Страница 74
...человек...

...и пчела.

Антенна, но не радара, а жука (увеличена в 36 раз).

Эритроциты лягушки…

…и человека (увеличены в 2 тысячи раз). У нас их столько, что, разложив все в ряд, можем дотянуться ими до Луны!

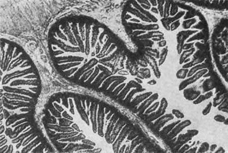
Складки тонкого кишечника, в ворсиночных джунглях которого идет третье пищеварение.

Очень старая драма: паук и муха.

Паук-арканщик на боевом рубеже.

Сцитодес и муха, связанная его липкой «слюной» по ногам и крыльям.

Солдаты носатого термита перекрестным огнем клеевых желез навсегда приклеивают незваного гостя к стене своего дома.

Тьфу! Какая гадость! Жаба выплюнула жука-бомбардира. Трагикомическая интермедия с нравоучительной моралью: не глотай без разбора все, что бегает!

Дворцовые тайны улья: царица матка и ее пышная свита, жаждущая гормонов и феромонов.

Коллективный кишечник в действии: правая пчела, вытянув язык, принимает пищевую эстафету у левой.

Фотодокументированный процесс заглатывания пищи амебой (увеличено в 200 раз).

Гидравлические ножки морской звезды. Вид снизу.

Миниатюрный дракон наших прудов: личинка жука-плавунца.



А это драконы глубоководные: рыбы-удильщики.

Сражение на микроптичьем уровне: паук-птицеед против колибри.

Змеи «от испуга скушали друг друга».


Панголин — бронированный зверек — с дерева на дерево прыгает ловко, как акробат.

Африканская змея-яйцеед всю жизнь на строгой диете: ест только птичьи яйца. Глотает их целиком. В пищеводе острые кости, торчащие из позвоночника и движимые особыми мышцами вперед и назад, перепиливают яичную скорлупу. Осколки ее змея отрыгивает, а белок и желток переваривает.

Длинный язык дан панголину не для болтовни.

Животное, которое никогда не пьет! Знаменитая кенгуровая мышь.

Евфаузиды — крохотные рачки. Их глаза переполнены витамином А.

Диатомовые водоросли красотой своих форм превосходят многих на Земле.
