Замершая беременность - Страница 4

Рисунок 5. Репликация ДНК
В ДНК встречается четыре вида азотистых оснований (аденин, гуанин, тимин и цитозин). Их последовательность позволяет «кодировать» информацию о строении всего организма. Хромосомы в общей сложности содержат приблизительно 3 миллиарда пар оснований нуклеотидов ДНК, образующих 20000-25 000 генов.
Воспроизведение клеток происходит посредством репликации ДНК (рис. 5). При этом она раскручивается на две цепочки РНК (а). Они расходятся, образуют репликационную вилку (б). Затем каждая РНК становится матрицей, на которой достраивается аналогичная цепь (в). В результате образуются две новые двуспиральные молекулы ДНК (г), идентичные родительской молекуле.
Аналогичным образом происходит синтез белка в клетках: ДНК расплетается; с нее считывается информация методом достраивания РНК, которая уходит из ядра в рибосомы (структуры клетки), где и становится матрицей для синтеза белка; расплетенная ДНК вновь закручивается в спираль.
Основы генетики
Гены являются носителями наследственной информации человека. Каждый ген – это участок молекулы ДНК, несущий информацию об определённом белке. Полный набор генов человека (генотип) отвечает за работу организма, его рост и развитие. Совокупность множества генов определяет уникальность каждого человека.
Гены передаются ребёнку от родителей: один «комплект» – от мамы, другой – от папы. Поэтому дети так похожи на своих родителей.
Если от обоих родителей нам достались одинаковые гены, отвечающие за какой-либо признак, например голубой цвет глаз, то генотип считается гомозиготным по этому признаку, и цвет глаз будет голубым (рисунок 6 а).
Если мы унаследовали разные гены (например, от матери – голубой цвет глаз, от отца – темный), то генотип считается гетерозиготный (рисунок 6 б). В этом случае проявляется тот признак, который является доминантным (преобладающим), и цвет глаз будет темным.
Гены у разных людей похожи, но имеются небольшие отличия – полиморфизмы. Существенные изменения генов, приводящие к нарушению функции клеток, называются мутацией (абберации). В живой клетке гены постоянно мутируют. Основными процессами, в ходе которых возникают сбои, являются репликация и транскрипция ДНК.
Некоторые изменения (полиморфизмы или мутации) приводят к внутриутробной гибели плода, другие – становятся причинами генных болезней и проявляются сразу после рождения, третьи – являются фактором, лишь предрасполагающим к возникновению некоторых заболеваний.

Рисунок 6. Гомозиготный (а) и гетерозиготный (б) типы
Типы хромосомных нарушений
Выделяют два основных типа хромосомных нарушений (мутаций, аббераций):
1. Количественные изменения числа хромосом (анеуплоидия): присутствие дополнительной хромосомы (трисомия) или отсутствие одной из двух парных хромосом (моносомия). Они возникают при нарушении расхождения хромосом в процессе деления клетки, в результате чего генетический материал неравномерно распределяется среди дочерних клеток. Анеуплодия приводит к выкидышам или формированию пороков развития.
Наиболее часто встречается трисомия по 16-й хромосоме, следствием которой становится ранний самопроизвольный выкидыш. Носители трисомии по хромосомам 13 (синдром Патау) и 18 (синдром Эдвардса) могут дожить до рождения, но отличаются значительными нарушениями развития, в связи с чем чаще погибают сразу после появления на свет.
Единственным видом трисомией по аутосомным (неполовым) хромосомам, при наличии которой возможно рождение жизнеспособного ребенка, является синдром Дауна (трисомия по хромосоме 21). Об этой патологии я расскажу подробно в соответствующей главе.
Также описаны хромосомные аномалии, при которых увеличивается число половых хромосом. Наиболее часто встречаются: синдром Шерешевского-Тернера (о нем мы поговорим отдельно); синдром Клайнфельтера (47XXY вместо 46XY), при котором возможно рождение младенца мужского пола, наделенного некоторыми вторичными женскими половыми признаками, и прочие.
При наличии в клетке дополнительного набора хромосом образуется полиплоидия. Например, при оплодотворении одной яйцеклетки сразу двумя сперматозоидами возникает триплоидия (тройной набор хромосом).
2. Также могут возникнуть нарушения в строении хромосом: делеция (утрата части), инверсия (поворот участка хромосомы на 180̊), кольцо (хромосома формирует кольцевую структуру), дупликация (повторение участка хромосомы), транслокация (перенос части хромосомы на другую).
При сбалансированных структурных нарушениях хромосом количество представленного хромосомного материала соответствует норме, изменена лишь их конфигурация. Человек со структурными абберациями хромосом, как правило, не имеет никаких проявлений, кроме возможных проблем с воспроизводством здорового потомства. Нарушения структуры хромосом могут передаваться от родителей к ребенку.
Синдром Дауна
В механизме возникновения синдрома Дауна лежит нарушение расхождения хромосом при созревании половых клеток (гамет).
Во время этого процесса и у мужчин, и у женщин, происходит деление обычной соматической клетки, содержащий двойной (диплоидный) набор хромосом, на две дочерние с уменьшенным вдвое числом хромосом (рис. 7). Если бы количество хромосом в гаметах оставалось диплоидным, как и в соматических клетках, то при оплодотворении в каждом поколении оно бы удваивалось.

Рисунок 7. Созревание половых клеток из соматической
При нарушении расхождения хромосом созревают гаметы с неправильным их количеством. Если такая «патологическая» половая клетка будет участвовать в оплодотворении, то имеется высокий риск зачатия ребенка с наследственной патологией.
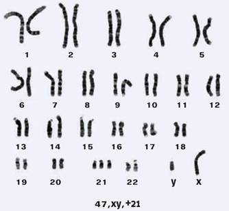
При наличии дополнительной 21-й хромосомы формируется синдром Дауна (рис. 8). Это одна из форм геномной патологии, при которой кариотип представлен 47 хромосомами (трисомия по 21 хромосоме) вместо 46, то есть от одного из родителей (носителя болезни) ребенку досталась не одна 21-я хромосома, как положено, а две; третью он получил от другого (здорового) родителя.
Изменение количества хромосом часто несовместимо с жизнью и приводит к гибели эмбриона, что является одной из главных причин невынашивания беременности в первом триместре. Однако плод с синдромом Дауна погибает не всегда. Нередко такие дети все же появляются на свет – в среднем наблюдается один случай на 700 родов.

Рисунок 8.Трисомия по 21 хромосоме. Синдром Дауна
Синдром Дауна является тяжелым отклонением, характеризующимся слабоумием, замедленным развитием и наличием других врожденных пороков. В настоящий момент благодаря пренатальной диагностике частота рождения детей, страдающих данной патологией, уменьшилась до 1 на 1100.
Дети с синдромом Дауна могут появиться у генетически здоровых родителей. Однако вероятность зачатия такого ребенка повышается с возрастом. Если женщине больше 45 лет, то риск составляет 1:19. Также увеличивается частота заболеваемости этим синдромом у ребенка, отец которого старше 42 лет.
Синдром Шерешевского – Тернера
Одной из причин прерывания беременности является такое генетическое заболевание плода, как синдром Шерешевского – Тернера. Это хромосомная патология, характеризующаяся наличием моносомии по Х-хромосоме (одна Х-хромосом вместо двух).