Система Осьмионика: красивая осанка, стройность и молодость - Страница 4

Рис. 1. Нормальная статика шеи.
Правильный физиологический изгиб: A = A1
А что в действительности имеем мы? Даже здоровый позвоночник (хотя где его найдешь?) с возрастом деформируется, «проседает», меняет статику. Появляется симптом смещенной вперед и запрокинутой назад головы (рис. 2).

Рис. 2. Гиперлордоз шейного отдела позвоночника: B > B1
В результате небольшой физиологический изгиб гипертрофируется, и шейные позвонки «проваливаются» вглубь шеи. Особенно интенсивно это происходит при «сидячей» работе. Формируется гиперлордоз шейного отдела позвоночника. Чаще всего виной тому становится не возраст, не тяжесть гравитации, а попросту плохая осанка. При сутулости попытка смотреть в глаза собеседника достигается запрокидыванием головы назад, сопровождающимся взглядом исподлобья. Бывает, посмотришь на женщину – лицо еще молодое, видно, что она ухаживает за собой. А взглянешь издали – прямо старушка ковыляет: ссутулилась, шейка вперед подалась, плечики сжались. Хорошо, сама себя не видит, а то бы очень огорчилась.
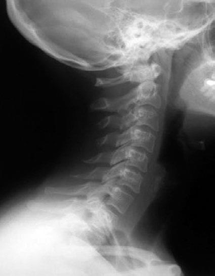
Из-за того, что с возрастом диски между позвонками уплощаются, шея укорачивается, часто весьма значительно (рис. 3).

Рис. 3. Шейный отдел позвоночника
Появление поперечных морщин и складок на боковой поверхности шеи служит точной приметой этого явления.

Рис. 4. Нормальный физиологический лордоз шейного отдела позвоночника
Проведите тесты: проверьте свою шею на статику – нормальный физиологический изгиб (рис. 4). Тут вам и пригодится второе зеркало.
1. С помощью двух зеркал внимательно рассмотрите шею в профиль и особенно сзади, приподняв волосы. Не удивляйтесь, если там вы ее вообще не найдете – слишком коротким будет расстояние от первого позвонка до последнего – седьмого шейного (он легко прощупывается). Измерьте шею со всех сторон. В идеале длина шеи должна быть одинаковой по всей ее окружности. Но, если вам больше сорока, будьте готовы к тому, что сзади вы обнаружите не более 2–3 см длины своей шеи.
2. Если при запрокидывании головы назад у вас появится ощущение, что в основание головы упирается кол – значит, ваш седьмой позвонок упирается в первый. Закономерно возникает вопрос: «А куда делись оставшиеся пять?» Они запали внутрь шеи. И как бы ни было ухожено лицо, ни о какой молодости говорить уже не приходится.
3. Сравните длину вашей шеи с «эталонной». Похоже? Или?.. Скорее всего – «или»…
Чтобы восстановить шею, недостаточно убрать массажами жир с так называемой «холки» (кстати, основная часть этого горбика – не жир, а отек лимфы) и «разбить остеохондрозные соли». В первую очередь необходимо восстановить статику шейного отдела. Ведь, не «вытащив» запавшие позвонки, характеризующие гиперлордоз шеи, вам никогда не приобрести четкого овала.

Рис. 5. Гиперлордоз шейного отдела позвоночника
Проблемы статики шейного отдела не ограничиваются возрастным гиперлордозом, когда позвонки проваливаются вглубь шеи (рис. 5). Часто, наоборот, этот изгиб может быть излишне спрямлен (рис. 6).

Рис. 6. Спрямление шейного отдела позвоночника
А вот для молодого поколения, особенно в наше время, характерен третий дефект статики шеи, который я назвала «компьютерной шеей» (рис. 7). Его обычно провоцирует именно вытягивание шеи к экрану монитора. Он выражается в вытянутости шеи вперед, но, как и гиперлордоз шеи, может сопровождаться избыточным грудным кифозом – сутулой осанкой.

Рис. 7. Спрямление шейного отдела позвоночника
При такой статике центр тяжести головы (ЦТ) смещен вперед относительно центра тяжести тела (рис. 8).

Рис. 8. Распределение силы тяжести при «компьютерной шее»
При эталонной осанке нагрузка на позвоночник составляет 4–5 кг. Если голова выдвинута вперед всего на 2,5 см, нагрузка на шейный и грудной отдел позвоночника вырастает на 5 кг.
С возрастом «компьютерная» посадка головы приводит к обвисшему подбородку, «индюшачьей шкурке». О какой «ликвидации» второго подбородка может идти речь, если вся шея выдвинулась вперед, и вытянута практически под углом в 45 градусов?
А теперь возьмем зеркало побольше и рассмотрим свои плечи. Из-за хронически сидячей позы плечи часто перенапрягаются, как бы приподнимаются из-за спины, становятся жесткими и болезненными при разминании (рис. 9).

Рис. 9. Спазмированные трапециевидные мышцы (слева) и расслабленные трапециевидные мышцы (справа)
Вовсе не короткая, казалось бы, шея вдруг куда-то исчезает при фотографировании в анфас, уши буквально лежат на воротничке, а головки плеч, как шарниры, заворачиваются вовнутрь. Чтобы скорректировать такую деформацию, необходимо расслабить трапециевидные мышцы и «перекинуть» их назад, за спину, как рюкзак (рис. 10), а не только удлинять шею – проблема не в ней! И тут вам не поможет простое отведение плеч назад в попытке выпрямить спину и уменьшить сутулость, таким образом вы только увеличите свои проблемы.

Рис. 10. Дисбаланс мышц при сутулости
Потому что заключаются они в том, что ваша спина тянется вверх, а грудь опускается вниз, то есть задняя поверхность нашего тела становится выше относительно передней: наш «костюмчик» ползет по швам!
Термином «костюмчик» остеопаты шутливо называют мягкие ткани нашего тела, облегающие скелет. Ведь на наше тело надет не только красивый костюм или платье. В первую очередь на тело надет костюм из собственной кожи, которой покрыты все кости и мышцы. Это и есть самый первый костюмчик, подаренный нам Природой. Насколько красивым он будет, зависит только от нас: тут уж не приходится жаловаться на неумелых портних и плохие лекала пошивочных фабрик.
В костюмчик из фасций одето и наше тело.
Что такое фасции, вы сами прекрасно знаете, даже если не подозреваете об этом. Ведь почти все хозяйки неоднократно боролись с жесткими белыми пленками при разделке мяса. В эти «чулки»-пленки обернуты не только мышцы, но и кости и вообще все наши сосуды и органы. Именно благодаря фасциям весь организм соединен в единую систему. И мозг, как кукловод, дергает нас за эти веревочки, подтягивая или расслабляя нужные места. Таким образом организм и осуществляет собственное регулирование.
Обеспечивает эту функцию специфическая особенность фасций – пластичность.
Они легко растягиваются, при этом достаточно медленно возвращаясь в исходное положение. Поэтому тело позволяет лепить себя, как пластилин. Даже кости сохраняют пластичность, особенно пока организм молод. В этом смысле их можно сравнить с веточками дерева: кость молодых людей при переломах перекручивается на изломе, подобно молодой веточке, а старая ломается ровно, как сухая ветка. И все потому, что в молодых костях много коллагеновых веществ, насыщающих их «соками».