Род человеческий - Страница 3

Рис. 2. Хромосомы человека.
Хромосомный набор женщины, как он виден в делящейся клетке (вверху). Тот же хромосомный набор, но в определенном порядке (внизу). Последняя пара — половые хромосомы. Для сравнения под двумя Х-хромосомами женщины помещены X- и Y-хромосомы мужчины.

Рис. 3. Схема деления клеточного ядра — митоза (на примере ядра с одной парой хромосом).
1–4 — последовательные стадии деления клеточного ядра.
Важным исключением из правила являются половые клетки: женская — яйцеклетка и мужская — сперматозоид. При образовании половых клеток в яичниках и семенниках каждое яйцо или сперматозоид получает только 23 хромосомы, по одной из каждой пары (рис. 4). При оплодотворении яйцеклетки сперматозоидом два половинных набора соединяются, и таким образом в оплодотворенном яйце восстанавливается нормальное число хромосом — 46.

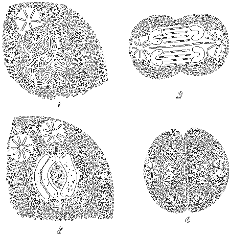
Рис. 4. Образование половых клеток (гамет) в процессе мейоза.
Нарисованы лишь одна пара хромосом и только одна родительская клетка, которая образует четыре спермальные клетки с половинным (гаплоидным) набором хромосом в каждой.
1–6 — последовательные стадии мейоза.
Таков механизм, с помощью которого каждый родитель вносит в среднем одинаковый вклад в генетическую конституцию ребенка. Мы не случайно подчеркиваем «в среднем». Очень часто нам кажется, что тот или иной индивидуум больше похож на одного из родителей. Это объясняется не какими-то нарушениями в механизме передачи хромосом, а тем, что гены хромосомного набора одного родителя могут маскировать проявление соответствующего гена хромосомного набора другого родителя. Подробнее мы рассмотрим этот вопрос в следующей главе.
Хромосомный механизм отвечает за распределение наследственных факторов во всем организме. Оплодотворенное яйцо — это клетка, и все клетки организма происходят от него путем последовательно повторяющихся делений. А после деления, как мы уже видели, каждая клетка имеет полный набор хромосом.
Значит, если, к примеру, волосы ребенка схожи с родительскими, то причина этого заключается не в том, что они переданы в прямом смысле слова, как можно передать парик, а в том, что хромосомы клеток кожи, из которой растут волосы, несут гены, полученные от родителей и ответственные за развитие волос определенного типа. (Мы умышленно привели этот пример, так как особенности волос сравнительно мало зависят от окружающей среды.)
Таким образом, становится понятным, почему биологи избегают употреблять слова «наследственность» и «унаследованный». По словам одного специалиста, «повседневная речь увековечивает устарелые понятия. До сих пор еще принято говорить: я унаследовал нос отца, его фамилию и его часы!» Гораздо чаще биологи используют понятие «генетически детерминированное» различие между двумя индивидуумами; это значит, что различие обусловлено действием наследственных факторов, или генов, несомых хромосомами и передающихся известным способом. Фрэнсис Гальтон, один из основоположников генетики, предпочитал говорить о природе и воспитании вместо наследственности и окружающей среды.
После того как мы поняли механизм передачи наследственных факторов от родителя потомку, стало ясно значение ранее часто неправильно употребляемых слов «семейный», «врожденный», «конституциональный» и «идиопатический». Под семейным заболеванием имеют в виду такое заболевание, которое наблюдается у нескольких членов одной семьи или в группе родственных семей. Такое заболевание может быть вызвано либо определенным геном, передающимся многим членам семьи, либо каким-то фактором окружающей среды, одинаково на них действующим. Например, туберкулез особенно часто встречается среди людей, выполняющих тяжелую физическую работу в условиях, которые способствуют появлению этого заболевания, например у шахтеров. В этих случаях причиной семейного заболевания туберкулезом могут быть как неблагоприятные бытовые условия и условия работы, так и инфекция, принесенная одним из членов семьи. Но в равной степени причиной распространения этой болезни может быть и наследственность. Устойчивость людей к туберкулезу различна и в какой-то степени генетически детерминирована. Следовательно, вполне возможно, что есть семьи, члены которых имеют пониженную устойчивость к этому заболеванию, ибо все они обладают одним определенным набором генов.
Мы далеки от утверждения, что туберкулез — «наследственная болезнь». Непосредственная причина заболевания — заражение микробом определенного вида, туберкулезной палочкой, в сочетании с определенной степенью восприимчивости зараженного человека. И если собственно инфекция является средовым фактором, вызываемым обычно присутствием микроба в воздухе или в молоке, то на восприимчивость оказывают влияние как среда, например жилищные условия, так и наследственные факторы.
Итак, под термином «семейный» мы подразумеваем сложный набор возможностей. То же относится и к понятию «врожденный»: это, строго говоря, есть не что иное, как наличие определенных признаков у новорожденного. Следовательно, оно указывает на время появления какого-то состояния, а не на его причину. Причина же может, по крайней мере частично, зависеть от наследственного фактора, а иногда — полностью от влияния среды. Например, врожденный сифилис есть результат заражения ребенка матерью незадолго до его рождения, то есть чистейшее воздействие среды. Напротив, дефект кисти или стопы — так называемая «рачья клешня» — появляется, насколько мы знаем, у всех индивидуумов при наличии определенного, редко встречающегося гена и всегда очевиден уже при рождении.
Два других термина — «конституциональный» и «идиопатический» — употребляются в основном в медицинской литературе. Они используются в значении, довольно близком к «врожденный» или «генетически детерминированный», но, как правило, указывают на неясность причин того или иного состояния. На наш взгляд, вряд ли есть необходимость пользоваться этими терминами — они только усложняют изложение и мешают точности мышления.
Окружающая среда, или «воспитание»
Из всего сказанного следует, что под окружающей средой мы подразумеваем любое воздействие на индивидуум извне с момента зачатия. Самые первые влияния окружающей среды на человеческий организм проявляются еще в матке: питание ребенка до рождения зависит от веществ, которые переносятся кровью матери. От плохого питания матери страдает ребенок; так, например, если в пище матери недостаточно кальция, у ребенка могут быть слабые кости.
На еще не родившегося ребенка оказывает влияние психическое состояние матери. Известно, что участившиеся случаи пилоростеноза у новорожденных явились отражением огромного нервного напряжения людей во время войны. (Пилоростеноз — сужение привратника желудка, вызываемое его врожденным утолщением; приводит к истощению и глубокому нарушению обмена веществ; проявляется в частой рвоте, запорах, скудном мочеиспускании и прогрессирующем снижении веса.) Как предполагают, нервное расстройство матери вызывает изменения в составе ее крови, что в свою очередь влияет на кровь эмбриона и приводит к нарушению роста определенных тканей.
Но если это так, то психическое состояние матери, влияя на ребенка посредством изменений в крови, не вызывает аналогичного состояния у ребенка. Здесь нет ничего общего с поверьем о так называемой связи между тем, что видит мать или о чем она думает во время беременности, и внешностью или наклонностями ее будущего ребенка. Мысли беременной женщины «влияют» на ее ребенка через столь прозаическую субстанцию, как кровь, которая поступает в матку. Не следует думать, будто у спокойной матери родятся дети с ровным характером или ребенок будет разбираться в искусстве, если мать станет постоянной посетительницей картинных галерей и концертов в период беременности.