Психология стресса - Страница 13
Каким образом повышение артериального давления во время хронического психологического стресса приводит к сердечно-сосудистым заболеваниям – убийцам номер один в Соединенных Штатах и других развитых странах мира? По сути, наше сердце – это простой механический насос, а кровеносные сосуды – нечто не более захватывающее, чем обычные шланги. Реакция сердечно-сосудистой системы на стресс, по сути, состоит в том, чтобы на какое-то время заставить ее работать активнее, и если мы делаем это регулярно, то она изнашивается точно так же, как насос или поливальный шланг, купленный в универмаге.
Первый шаг на пути к стрессогенным заболеваниям – это гипертония, хронически повышенное артериальное давление[14]. Это очевидно: если во время стресса артериальное давление повышается, то хронический стресс приводит к хроническому повышению давления. Первая задача выполнена: у нас началась гипертония.
Это немного сложнее, потому что в этой точке возникает порочный круг. Небольшие кровеносные сосуды, распределенные по всему телу, призваны регулировать кровоснабжение отдельных органов, чтобы обеспечить им достаточный уровень кислорода и питательных веществ. Если давление хронически повышено – если мы хронически увеличиваем силу, с которой кровь бежит по этим крохотным сосудам, – то им приходится больше работать, чтобы отрегулировать силу кровотока. Это похоже на разницу в управлении садовым шлангом при поливе лужайки или пожарным рукавом, из которого хлещет мощная струя воды. Во втором случае нужно больше мышечных усилий. Именно это и происходит в этих крошечных сосудах. Вокруг них возникает утолщенный слой мышц, чтобы лучше управлять увеличенной силой кровотока. Но из-за такой «переразвитой» мускулатуры сосуды теряют гибкость и оказывают больше сопротивления крови. А это еще больше повышает артериальное давление. Что в свою очередь увеличивает сопротивление сосудов. И так по кругу.
Таким образом, мы создали себе хронически повышенное артериальное давление. И это не слишком хорошо для нашего сердца. Кровь теперь возвращается в сердце с большей силой и, как мы уже сказали, это увеличивает нагрузку на стенки сердечной мышцы, которой приходится противостоять этому цунами. Со временем стенки утолщаются, на них «нарастает» больше мышц. Это называют гипертрофией левого желудочка: масса левого желудочка увеличивается. Сердце становится «перекошенным», потому что один его сектор увеличивается в размерах. Это повышает риск развития сердечной аритмии. И еще одна плохая новость: вдобавок эта утолщенная стенка желудочка теперь может требовать большего количества крови, чем пропускают коронарные артерии. Исследования показывают, что гипертрофия левого желудочка – самый надежный прогностический параметр возникновения сердечно-сосудистых заболеваний.
Гипертония также вредна для кровеносных сосудов. Общая особенность кровеносной системы состоит в том, что в разных пунктах большие кровеносные сосуды (например, аорта) переходят в сосуды меньших размеров, затем в еще меньшие и т. д., разветвляясь на тысячи крошечных капилляров. Этот процесс разделения на меньшие и меньшие единицы называют бифуркацией. (Чтобы представить себе, насколько эффективно это постоянное разветвление в кровеносной системе, достаточно сказать, что каждая клетка в теле отстоит от кровеносного сосуда не более чем на пять клеток, хотя кровеносная система составляет всего 3 % от массы тела.) Одно из свойств систем, разветвляющихся подобным образом, заключается в том, что точки разветвления (то есть точки бифуркации) особенно уязвимы для повреждений. Точки разветвления в стенке сосуда, где возникает бифуркация, принимают на себя основное давление поступающей в него крови. Отсюда простое правило: когда увеличивается сила, с которой жидкость перемещается по системе, это повышает турбулентность, и эти участки стенок сосуда повреждаются чаще других.
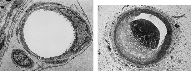
С хроническим повышением артериального давления, возникающим в результате повторяющегося стресса, такие повреждения возникают в точках разветвления артерий по всему телу. Гладкая внутренняя поверхность сосуда начинает трескаться, на ней формируются небольшие кратеры. А если повреждена внутренняя поверхность сосудов, возникает воспаление, и в этом месте накапливаются клетки иммунной системы, призванные устранить воспаление. Кроме того, здесь начинают формироваться клетки, наполненные питательными жирами, которые называют пенистыми клетками. Вдобавок во время стресса симпатическая нервная система делает кровь более вязкой. А именно адреналин приводит к тому, что тромбоциты (кровяные тельца, способствующие свертыванию крови) начинают склеиваться друг с другом, и такие «склейки» тоже скапливаются в местах повреждений сосудов. Как мы увидим в следующей главе, во время стресса мы мобилизуем энергию, выбрасывая ее в кровь, в том числе жиры, глюкозу и «плохой» холестерин, и эти вещества тоже могут «застревать» в местах повреждений сосудов. Как и всевозможные фиброзные загрязнения. Так у нас начинают формироваться атеросклеротические бляшки (рис. 8).

Рис. 8. Здоровый кровеносный сосуд (слева) и кровеносный сосуд с атеросклеротическими бляшками (справа)
Следовательно, стресс может способствовать возникновению бляшек, увеличивая риск повреждения и воспаления кровеносных сосудов и приводя к тому, что сгустки в крови (тромбоциты, жир, холестерин и т. д.) начнут «прилипать» к этим воспаленным участкам. Уже много лет врачи пытаются оценить риск развития сердечно-сосудистых заболеваний, измеряя, сколько сгустков того или иного типа находится в крови. Прежде всего это, конечно, холестерин. Сегодня он вызывает такую панику, что даже производители яиц начали убеждать нас не злоупотреблять их переполненными холестерином продуктами. Высокий уровень холестерина, особенно «плохого» холестерина, конечно, увеличивает риск сердечно-сосудистых заболеваний. Но это не слишком надежный прогностический фактор; на удивление, многие из нас переносят высокий уровень «плохого» холестерина безо всякого вреда для здоровья, и только у половины жертв сердечных приступов обнаруживается повышенный уровень холестерина.
В последние годы выяснилось, что количество поврежденных, воспаленных кровеносных сосудов – более точный прогностический фактор риска сердечно-сосудистых заболеваний, чем количество сгустков в крови. Это вполне понятно, ведь можно съедать по десятку яиц в день и не иметь никаких проблем с атеросклерозом, если у вас нет поврежденных сосудов, к которым могли бы «прилипать» сгустки; и наоборот, если поврежденных сосудов много, бляшки формируются, несмотря на «здоровый» уровень холестерина.
Как оценить вред от воспаления? Хорошим маркером оказалось вещество под названием С-реактивный белок (СРБ). Он вырабатывается в печени в ответ на сигнал о повреждении сосуда и мигрирует к поврежденному сосуду, где усиливает воспаление. Помимо прочего, это помогает локализовать в воспаленном участке «плохой» холестерин.
СРБ оказался намного лучшим прогностическим фактором риска сердечно-сосудистых заболеваний, чем холестерин, даже за много лет до начала болезни. Поэтому СРБ внезапно стал очень модным среди врачей и сегодня становится стандартом в диагностике состояния кровеносной системы.
Таким образом, хронический стресс может вызвать гипертонию и атеросклероз – накопление бляшек. Одна из самых наглядных демонстраций этого, имеющая практическое применение в обычной жизни, описана в работе физиолога Джея Каплана из Медицинской школы Боуман-Грей. Каплан взял за основу известную работу своего предшественника – физиолога Джеймса Генри (мы упоминали о нем в предыдущей главе), показавшего, что стресс, имеющий исключительно социальную природу, может вызывать у мышей гипертонию и атеросклероз. Каплан и его коллеги продемонстрировали похожий феномен у приматов, что сделало эту тему намного актуальнее для нас, людей. Соберите самцов обезьян в социальную группу, и очень скоро – от нескольких дней до месяца – они выяснят, каков их статус друг относительно друга. Как только возникла устойчивая иерархия подчинения, последнее место, которое вы хотели бы занимать, – в самом низу: здесь вы подвергаетесь наибольшему количеству не только физических, но и психологических стрессоров, как мы увидим в главе 13, посвященной психологическому стрессу. Такие подчиненные самцы демонстрируют множество физиологических признаков хронической реакции на стресс. У этих животных часто развиваются атеросклеротические бляшки – их артерии засорены. А вот еще одно свидетельство того, что атеросклероз является результатом излишней активности симпатического компонента нервной системы при реакции на стресс: если Каплан давал обезьянам из группы риска препараты, подавляющие активность симпатической нервной системы (бета-блокаторы), бляшки у них не формировались.