Правила здоровой и долгой жизни - Страница 9
На молекулярном уровне рак появляется после мутации генов конкретной клетки. Мощные генетические сигналы нормальных клеток указывают, когда и как клетке делиться. Некоторые гены активизируют размножение клеток, работая как педаль газа. Другие работают как молекулярные тормоза, останавливая рост. Это объясняет, в частности, почему, например, когда заживает царапина на коже, клетки, задействованные в заживлении, «знают», когда нужно останавливать развитие новых клеток, так чтобы не оставить вас с опухолью из новой кожи. Но в раковой клетке нет этого отточенного баланса между активным ростом и неактивностью. Светофор, который управляет ростом клеток, не работает или слишком часто дает зеленый свет. Клетки, соответственно, остаются без регулирования и не знают, когда прекращать рост.
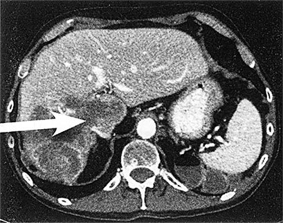
Но такой взгляд на рак на молекулярном уровне не является единственным полезным инструментом в подборе лечения. Для меня рак (рис. 4) выглядит примерно так:

А. Печень человека с метастазами рака толстой кишки

Б. Аксиальная компьютерная томография, показывающая наличие метастазов рака в печени

В. Рак в лимфоузле под микроскопом
Вот мы видим А – печень с раком толстой кишки, что правильнее назвать «метастазы рака толстой кишки в печень». Рак переместился, метастазировал, из толстой кишки в печень, что подтверждается белыми образованиями на снимке. Б – томограмма другой печени, пораженной раком толстой кишки («метастазы рака толстой кишки в печень»). Обратите внимание на пять круглых темных образований в левой части изображения. И В – изображение рака толстой кишки в лимфоузле под микроскопом («метастазы рака толстой кишки в лимфоузел»). Пояснение: «рак толстой кишки», который метастазировал в легкие, не будет называться «рак легких». Это все еще рак толстой кишки и выглядит он как рак толстой кишки.
Рак – это взаимодействие клетки, лишенной контроля роста, с окружающей средой. Для понимания рака важнее обратить внимание на то, что это не только неконтролируемое деление клеток и их распространение. Важнее другая характеристика – способность изменяться со временем. Хотя люди часто представляют себе рак как сошедшую с ума машину для копирования клеток, не вносящую изменений, в действительности он гибче и динамичнее. Каждый раз, когда появляется новое поколение злокачественных клеток, в них появляются новые мутации – которые еще сильнее меняют гены, отвечающие за рост клетки. Хуже того: в опухоли после химиотерапии могут остаться клетки, резистентные к лекарственным средствам. Другими словами, так же, как после применения антибиотиков появляются резистентные бактерии, противораковые средства могут стимулировать появление резистентных раковых клеток.
Но вновь отстранимся от молекулярной точки зрения на рак. Как видно, эволюция влияет на проявления рака, но не на генетику. Да, за злокачественные опухоли отвечают разные гены, но внешний вид получается одинаковым. Да, могут существовать 50 различных молекулярных путей развития того или иного новообразования, например, рака молочной железы, толстой кишки, легких, мозга или простаты, но в итоге результат и способ действия оказываются одинаковыми. Если показать гистологу десять образцов рака молочной железы от разных пациентов, то молекулярная основа во всех случаях будет разной, но под микроскопом все будет выглядеть как рак молочной железы. Аналогично наблюдается удивительное сходство между видом клеток рака молочной железы и клеток рака любого другого органа, потому что у злокачественных клеток много общего во внешнем виде и поведении. Это – важнейший момент в понимании рака. Ученые долго изучали молекулярные дефекты, ведущие к раку, но не сам его вид. Описание от Национального института рака (стр. 49) составляет только часть общей картины. Рак – это не генетическое заболевание. Скорее это болезнь, при которой клетки начинают выглядеть и вести себя определенным способом, используя для этого генные мутации. И если при разработке новых методов лечения будет найден способ блокирования одного молекулярного пути, то это не означает, что рак не найдет другого (что, к сожалению, он обычно успешно проделывает).
Представим себе человека со злокачественной опухолью. Когда-то это был человек без опухоли, и с того момента его ДНК не изменилась. Разница между наличием и отсутствием рака не только в геноме. Большинство клеток человеческого тела не перерождается в рак. Рак – это процесс, и происходит он далеко за границами статичной ДНК-последовательности. Описание конкретной мутации генома поможет объяснить, почему запустился процесс. Действенность генетических тестов была продемонстрирована на примере рака молочной железы. Для него были найдены гены BRCA1/2, ассоциированные с высоким риском этого вида рака (мутации этого гена часто встречаются среди евреев-ашкенази). Однако важно понимать, что мутации в BRCA1/2 не являются причиной рака молочной железы. Они позволяют произойти следующим мутациям, которые и вызывают заболевание. Женщины с наследственной мутацией BRCA1/2 родились с мутацией – они получили ее от кого-то из родителей. Но они не родились с раком молочной железы.
Во многих подобных случаях генетическая предрасположенность к раку есть, но сам рак не наследуется. Человек наследует предрасположенность – те, у кого есть такой ген, с большей вероятностью заболеют раком. Скорее всего гены BRCA1/2 прерывают процесс восстановления ДНК. Но не у каждой женщины с такой мутацией диагностируют рак молочной железы. Это происходит потому, что в теле есть не только множество путей, ведущих к раку, но и несколько путей восстановления ДНК. Напомню также, что большинство женщин с раком молочной железы не имеет мутаций этого гена, так что тут скорее игра вероятностей, чем геномика.
Вернемся к идее системы. Неважно, как сложная многообразная система пришла какому-то конкретному состоянию. Важно сохранение целостности системы, способной противостоять отклонениям. Точнее, рак является симптомом нарушения взаимодействия клеток. Клетки начинают делиться, хотя и не должны, и не дают друг другу команду на самоуничтожение, или дают команду создавать кровеносные сосуды там, где не нужно, или подают друг другу ложные сигналы. То есть нарушена вся система регуляции, которая и делает возможным взаимодействие. Когда группа клеток в конкретной области начинает неконтролируемо делиться, мы называем это раком, а в зависимости от того, в какой части тела это происходит, – раком легких или мозга. Но это не проблема, это признак того, что проблема существует.
Традиция описывать рак по месту локализации появилась на основе результатов вскрытий во Франции в начале 1700-х и микроскопии, разработанной в Германии в середине 1850-х. С того времени ситуация не изменилась. Это очень устаревшая традиция, так называть рак – рак простаты, рак молочной железы, рак мышц… Если вдуматься, то это не имеет смысла. Вначале выделяли десятки типов рака, сейчас их уже сотни. В действительности их миллионы. В среднестатистической злокачественной опухоли на момент диагностики оказывается более сотни мутаций кодирующих генов, и я не думаю, что есть способ все их понять или смоделировать. Количество мутаций возрастает экспоненциально, как только пациента подвергают химиотерапии, провоцирующей новые мутации. Одним из признаков рака является нестабильная ДНК, и когда препараты для химиотерапии воздействуют на ДНК, они могут вызвать рак, так же как радиация вызывает рак за счет мутации генома. Это объясняет, почему излечившиеся от рака молочной железы позже зачастую страдают от лейкемии, развившейся из-за химиотерапии рака молочной железы. Они поменяли одну болезнь на другую, но выиграли годы нормальной жизни в промежутке.