Патофизиология. Том 2 - Страница 166
ЦВЕТНАЯ ВКЛЕЙКА

Рис. 14-1.
Современная схема кроветворения. ПСКК - полипотентная стволовая кроветворная
клетка, КОЕ-ГЭММ - колониеобразующая единица гранулоцитов, эритроцитов,
макрофагов, мегакариоцитов, КОЕ-ГМ - колониеобразующая единица гранулоцитов и
макрофагов, БОЕ-Э - бурстобразующая единица эритроцитов (БОЕ-Э незр - незрелая, БОЕ-Э зр - зрелая), КОЕ-Э - колониеобразующая единица эритроцитов, КОЕ-Мгкц -
колониеобразующая единица мегакариоцитов, КОЕ-М - колониеобразующая единица
макрофагов, КОЕ-Г - колониеобразующая единица гранулоцитов, КОЕ-Н -
колониеобразующая единица нейтрофилов, КОЕ-Эо -колониео- бразующая единица
эозинофилов, КОЕ-Ба - колониеобразующая единица базофилов

Рис. 14-3.
Патологические формы эритроцитов: 1 - нормобласт базофильньш; 2 - нормобласт
полихроматофильный; 3 - нормобласт оксифильньш (ортохромный); 4 -
полихроматофилышй эритроцит; 5 - ретикулоцит; 6 - эритроцит с тельцем Жолли; 7 -
эритроцит с азурофильной зернистостью; 8 - эритроцит с базофильной зернистостью; 9 -
эритроцит с кольцами Кабо; 10 - анизоцитоз; 11 - пойкилоцитоз; 12 - гипохромный
эритроцит; 13 - гемоглобиновая дегенерация Эрлиха; 14 - эритроцит с тельцами Гейнца; 15 - мегалобласт базофильный; 16 - мегалобласт полихроматофильный; 17 - мегалобласт
оксифильный; 18 - микроцит; 19 - макроцит; 20 - мегалоцит


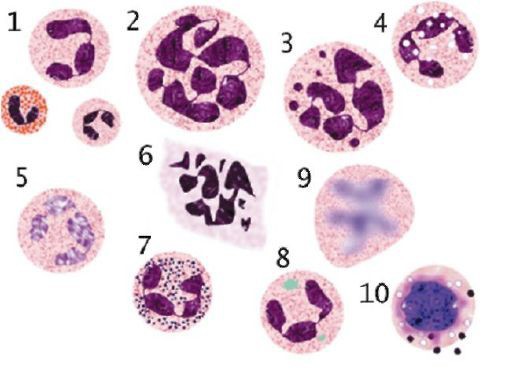
Рис. 14-9.
Патологические формы гранулоцитов: 1 - микроформы гранулоцитов; 2 - гигантский
гиперсегментированный нейтрофил; 3 - фрагментация ядра нейтрофила; 4 - вакуолизация
ядра и цитоплазмы нейтрофила; 5 - хроматинолиз ядра; 6 - рексис ядра; 7 - нейтрофия с
токсогенной зернистостью; 8 - тельца КнязьковаДеле; 9 - кариолизис; 10 - дегрануляция
базофила
Рис. 14-10.
Патологические формы лимфоцитов и моноцитов: 1 - нормальный узкоцитоплазменный
лимфоцит; 2 - нормальный моноцит; 3 - пикноз ядра лимфоцита; 4 - вакуолизация ядра и
цитоплазмы моноцита; 5 - фрагментация ядра лимфоцита и моноцита; 6 - микроформы
лимфоцитов
Document Outline
ЧАСТЬ III ПАТОФИЗИОЛОГИЯ ОРГАНОВ И СИСТЕМ ГЛАВА 14 ПАТОФИЗИОЛОГИЯ СИСТЕМЫ КРОВИ
ГЛАВА 15 ПАТОФИЗИОЛОГИЯ СЕРДЕЧНО- СОСУДИСТОЙ СИСТЕМЫ
ГЛАВА 16 ПАТОФИЗИОЛОГИЯ ДЫХАНИЯ
ГЛАВА 17 ПАТОФИЗИОЛОГИЯ ПИЩЕВАРЕНИЯ
ГЛАВА 18 ПАТОФИЗИОЛОГИЯ ПЕЧЕНИ
ГЛАВА 19 ПАТОФИЗИОЛОГИЯ ПОЧЕК
ГЛАВА 20 ПАТОФИЗИОЛОГИЯ ЭНДОКРИННОЙ СИСТЕМЫ
ГЛАВА 21 ПАТОФИЗИОЛОГИЯ НЕРВНОЙ СИСТЕМЫ
ГЛАВА 22 ПАТОФИЗИОЛОГИЯ ВЫСШЕЙ НЕРВНОЙ ДЕЯТЕЛЬНОСТИ
ЛИТЕРАТУРА
ЦВЕТНАЯ ВКЛЕЙКА