Мастопатия и гинекомастия - Страница 8
В экономически развитых странах уже несколько лет используется классификация состояния ткани МЖ, основанная на эхографических и маммографических характеристиках – BI-RADS классификация (Breast Imaging Reporting and Data System). Эта классификация создана для того, чтобы привести к «общему знаменателю» данные, полученные с помощью инструментальных неинвазивных методик обследования МЖ.
Согласно классификации состояние ткани МЖ можно разделить на 5 категорий. BI-RADS 1-я категория – нормальная ткань МЖ; BI-RADS 2-я категория – доброкачественное образование; BI-RADS 3-я категория – вероятнее, доброкачественное образование; BI-RADS 4-я категория – подозрительное образование; BI-RADS 5-я категория – высокая вероятность злокачественного образования. В последние годы к 5 категориям BI-RADS была добавлена еще одна категория 0 – образование в МЖ нуждается в дополнительных диагностических мероприятиях.
Имеются сторонники следующей тактики ведения пациенток с узловыми образованиями в МЖ: при отсутствии признаков злокачественности (2, 3 и 4-я категории BI-RADS) и отсутствии злокачественных клеток при тонкоигольной аспирационной биопсии (ТАБ) проводят динамическое наблюдение, образование не удаляют (максимальный срок, по литературным данным, 29 месяцев). Наблюдение ведут в отсутствие отрицательной динамики по данным обследования (рост образования, изменение эхографических и маммографических характеристик). Частота выполнения тонкоигольной биопсии в динамике не указывается. В ряде статей сообщается о применении данной тактики и у пациенток с 5-й категорией. Применение этой тактики всецело определяется экономическими соображениями в виду высокой стоимости оперативного лечения.
1.6. Клинические формы и тактика ведения больных с локализованной мастопатией
Фиброаденома молочной железы – это узловая форма мастопатии (рис. 9), доброкачественная опухоль, частая патология молочных желез у женщин моложе 35 лет. Пиковый возраст заболевания составляет 20 лет. Большинство фиброаденом – менее 2–3 см в диаметре. Иногда встречаются гигантские фиброаденомы – более 6 см в диаметре. В 20 % случаев фиброаденомы множественные, в 10 % – двусторонние.

Рис. 9. Препарат, иссеченный при операции: фиброаденома, заключенная в рыхлую капсулу (больная 47 лет)
Это новообразование является гормонозависимым и функционирует так же, как нормальная ткань молочной железы, продуцируя молоко в процессе лактации и подвергаясь инволюции в постменопаузе. В некоторых исследованиях отмечается прямая связь между возникновением фиброаденом и использованием оральных контрацептивов в возрасте до 20 лет. Отдельные исследователи отмечают роль вируса Эпштейна-Барра в этиологии фиброаденомы у женщин с ослабленным иммунитетом, однако в настоящее время вирусная теория не получила подтверждения.
Клинически фиброаденомы протекают бессимптомно, растут медленно. Во время беременности и лактации отмечается ускорение роста опухоли.
Фиброаденома имеет довольно характерную клиническую картину. При пальпации фиброаденомы легко определяются в виде хорошо отграниченных округлых или полисферических опухолей эластической консистенции, не спаянных с окружающими тканями, безболезненных, располагающихся обычно во внеареолярной зоне в верхних отделах молочной железы. Кожа над фиброаденомой остается неизмененной. В положении лежа фиброаденома не исчезает.
Различают зрелые фиброаденомы небольших размеров, плотноэластической консистенции, медленно увеличивающиеся или вовсе неувеличивающиеся, и незрелые, отличающиеся обычно более значительными размерами, мягкоэластической консистенцией и склонностью к прогрессивному росту. Зрелые фиброаденомы встречаются преимущественно в возрасте 20–40 лет и требуют хирургического лечения – секторальной (частичной) резекции молочной железы. Незрелые фиброаденомы наблюдаются у девушек в период полового созревания. Они нередко исчезают сами по себе без всякого лечения после установления регулярных менструаций.
Фиброаденома состоит из двух видов тканей: соединительной и эпителиальной, которые являются нормальными компонентами молочной железы.
Длительно существующие фиброаденомы претерпевают гиалиновую дегенерацию с последующим кальцинозом.
В зависимости от гистологического строения выделяют варианты фиброаденом:
– периканаликулярная;
– интраканаликулярная;
– смешанная;
– ювенильная.
Периканаликулярная фиброаденома (51 %) четко отграничена от окружающих тканей, имеет однородное строение. На рентгенограммах она более плотная по сравнению с другими разновидностями фиброаденом. Часто подвергается инволютивным и дистрофическим изменениям с отложением кальцинатов.
Периканаликулярные фиброаденомы у 60 % женщин преобладают в возрасте до 45 лет, интраканаликулярные – у 67 % женщин старше 45 лет.
Для интраканаликулярных (47 %) и смешанных (2 %) фиброаденом более характерны дольчатое строение, нечеткие контуры, неоднородная структура узла. При смешанных фиброаденомах присутствуют признаки пери- и интраканаликулярных фиброаденом.
На маммограммах фиброаденома представляет собой образование округлой, овальной формы, реже – дольчатого строения с четким ровным контуром. Плотность ее выше или сравнима с плотностью ткани молочной железы.
Часто встречается типичный кальциноз по типу «поп-корна», который начинается с периферии и постепенно полностью занимает всю ткань фиброаденомы.
Сложности возникают при атипичных маммографических проявлениях фиброаденом, которые имитируют РМЖ. Они имеют неправильную форму, нечеткие границы и включения микрокальцинатов.
В большинстве случаев на сонограмме фиброаденома выглядит как гипоэхогенное образование овальной или округлой формы, однородной структуры, с умеренно выраженным дистальным усилением сигнала или его отсутствием, с симметричными боковыми акустическими тенями.
В половине случаев фиброаденома имеет дольчатое строение, неоднородную эхогенность, наличие жидкостных полостей и кальцинатов. Дополнительные диагностические сведения дает допплерсонография.
Для интраканаликулярных фиброаденом характерен большой процент васкуляризации (33,4 %), а периканаликулярные фиброаденомы аваскулярны (визуализируются только огибающие сосуды). Вероятность малигнизации фиброаденом составляет 0,5–1,0 % случаев. Это зависит от гистологического строения фиброаденомы. Интраканаликулярные фиброаденомы малигнизируются в 2–7,5 раза чаще.
Диагностика фиброаденомы cкладывается из клинических методов исследования (пальпация) и инструментальных (УЗИ и маммография).
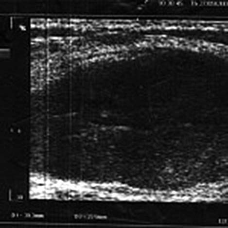
Фиброаденома имеет характерные признаки по данным УЗИ (рис. 10): четкие, ровные края, соотношение высота/ширина менее 1, гомогенная структура (наблюдается увеличение гомогенности при компрессии).

Рис. 10. Фиброаденома по данным УЗИ
Компрессия не влияет на внутреннюю эхоструктуру и может приводить к изменению формы (к уплощению изображения опухоли).
Поскольку чаще всего фиброаденомы наблюдаются у молодых женщин, рутинная маммография не показана. У пожилых женщин фиброаденома на маммограммах предстает как одиночное, равномерной плотности образование, несколько плотнее окружающей ткани. Как все доброкачественные образования, она не нарушает структуру ткани железы. С возрастом фиброаденома может обызвествляться и тогда четко определяется на маммограммах. Обызвествление начинается обычно с центра и может захватывать всю фиброаденому. Характерным является наличие крупных кальцинатов, имеющих форму «воздушной кукурузы» («поп-корна»).