Бегство от одиночества - Страница 10
Клетка — элементарная частица жизни
Эти беглые замечания о способах выработки энергии в клетках многоклеточного организма и в бактериальных клетках акцентируют весьма существенные различия в важнейших аспектах их жизнедеятельности. Несходны эти два класса клеток и во многих других отношениях, о чем речь пойдет в дальнейшем. Но, с другой стороны, и те и другие построены по единой принципиальной схеме, которая и характеризует любую клетку как элементарную структурную и функциональную единицу живого вещества.
Называя клетку элементарной единицей живого, мы подразумеваем при этом, что она обладает способностью успешно выполнять все те функции, которые являются фундаментальными свойствами живой материи в ее отличии от материи косной. Среди многих таких свойств стоит перечислить для начала лишь несколько наиболее принципиальных и универсальных. Это прежде всего способность живого тела к увеличению своей массы за счет потребления и переработки энергии и материалов, получаемых телом извне. Названное свойство, которое есть не что иное, как способность к росту, предполагает существование, по крайней мере, двух других. Я имею в виду, во-первых, умение эффективно усваивать материалы для постройки своего тела из внешней среды и, во-вторых, способность вырабатывать энергию, необходимую для самого процесса строительства, равно как и для поддержания возведенных структур в рабочем состоянии. Наконец, живые тела способны тем или иным способом воспроизводить себе подобных. Следовательно, должен существовать механизм, позволяющий передать потомкам все те конструктивные особенности, которые дают возможность оптимальным образом осуществлять обмен веществ, переработку энергии и рост живой массы.
Итак, всякая клетка является, во-первых, в высшей степени совершенным преобразователем вещества и энергии и, во-вторых, хранителем наследственной информации, воспроизводимой из поколения в поколение. Соответственно в любой клетке существуют структуры, управляющие процессами обмена веществ, и те, что ответственны за хранение и воспроизведение наследственной информации. К числу первых относится основное вещество клетки — цитоплазма, заключенная в эластичную оболочку, и великое множество включенных в цитоплазму миниатюрных агрегатов нескольких разных конструкций и разного назначения. Если уподобить клетку современному, высокоэффективному технологическому комплексу, как это нередко делают в последнее время, то часть из упомянутых агрегатов будет уместно сравнить с мощными силовыми установками, а другие — с быстро действующими сборочными конвейерами. Впрочем, по аналогии между этими миниатюрными внутриклеточными структурами и органами многоклеточных за первыми издавна закрепилось название органелл.
Носители генетической информации — это гигантские линейные молекулы ДНК (дезоксирибонуклеиновых кислот), в которых определенным образом закодированы все структурные особенности данного вида микроорганизмов, растений или животных. Чтобы представить себе, насколько велика эта молекула, достаточно сказать, что у бактерий ее длина в 700–1000 раз превышает длину самой клетки. Молекулу ДНК называют двухцепочечной. Она отчасти подобна длинной застежке-молнии. Когда клетка готовится к делению, половинки ДНК начинают отходить друг от друга (как при медленном расстегивании молнии), и вдоль каждой из них сразу же выстраивается новая половинка, точно воспроизводящая утраченную. В результате из одной двухцепочечной молекулы ДНК образуется две практически идентичные друг другу (рис. 2.1). В момент деления материнской клетки надвое каждая из дочерних клеток получает свою двухцепочечную ДНК. Именно за счет этого в самой грубой схеме происходит передача генетической информации в череде клеточных поколений.

Рис. 2.1. Схема удвоения (репликации) двойной спирали молекулы ДНК. На этой до предела упрощенной схеме не отражено то фундаментальное обстоятельство, что новые двойные цепочки абсолютно идентичны друг другу.
Такова в самых общих чертах идеализированная конструктивная схема «клетки вообще». Теперь, пользуясь этим грубым наброском, нам предстоит провести различие между двумя существенно различными категориями клеток. К одной такой категории относятся клетки, у которых вся генетическая информация записана в одной-единственной молекуле ДНК. Эта молекула замкнута в кольцо и лежит непосредственно в цитоплазме, а не в ядре, присутствующем лишь в клетках второй из двух упомянутых категорий, к которым мы обратимся позже. Из-за отсутствия ядра (по латыни карион) клетки этой первой категории были названы доядерными, или прокариотическими. Сами же организмы (в большинстве своем одноклеточные), существующие в форме таких клеток, мы будем в дальнейшем называть прокариотами. Помимо особенностей строения генетического аппарата (отсутствие ядра, единственная кольцевая молекула ДНК), прокариотические клетки характеризуются весьма скромным набором органелл. В цитоплазме такой клетки присутствуют в большом количестве органеллы лишь одного типа. Это так называемые рибосомы — крошечные сборочные конвейеры, на которых по инструкциям, поступающим от ДНК, синтезируются белки, специфичные для данного вида микроорганизмов. За счет создаваемых здесь строительных блоков происходит рост клетки, а при ее последовательных делениях — увеличение числа индивидов и рост популяции соответствующего микроорганизма. К числу прокариот относятся около 2,5 тысячи существующих ныне видов бактерий и примерно 200 видов цианобактерий (раньше последних называли синезелеными водорослями).
Все прочие населяющие Землю организмы построены из клеток более сложного строения, именуемых эукариотическими (от греческих слов карион — ядро и эу — полностью, истинно). Это название подчеркивает, что клетки организмов-эукариот снабжены ядром, под оболочкой которого и помещаются теперь носители генетической информации. Как и у прокариот, это длинные двухцепочечные молекулы ДНК, но в эукариотической клетке каждая такая молекула упакована в комплексе с молекулами белков в своеобразную нитевидную структуру — хромосому. Все клетки данного вида организмов (скажем, клена, мыши или человека) содержат строго постоянное число хромосом определенной величины и строения.
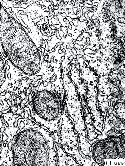
Внутреннее строение эукариотической клетки отличается поистине фантастической сложностью (рис 2.2). Ежесекундно в клетке происходят тысячи разнообразных биохимических реакций, и строгая упорядоченность столь изощренной деятельности поддерживается трехмерной системой мембран, подразделяющих клетку на отсеки и одновременно служащих обмену информацией между разными ее рабочими структурами. Наряду с тысячами рибосом, занятых, как мы помним, синтезом белковых строительных блоков клетки, в ней присутствуют другие разнообразные органеллы. Среди них необходимо назвать митохондрии, которые выполняют роль уже упоминавшихся «силовых установок» клетки. Именно здесь поступающие в клетку молекулы глюкозы — основное органическое топливо — в многоступенчатой цепи химических реакций «сжигаются» с кислородом с выделением большого количества энергии. Часть ее используется на сиюминутные нужды, а другая запасается в митохондриях впрок в виде связанной химической энергии. Этот сложнейший процесс «клеточного дыхания», в котором внутри клетки задействованы сотни, а иногда и тысячи митохондрий, дает несравненно больший выход энергии, нежели соответствующий ему по назначению гликолиз в клетках прокариот.

Рис. 2.2. Фрагмент животной клетки под электронным микроскопом. Черные точки — рибосомы, прикрепленные к стенкам разветвленного, полого внутри лабиринта цистерн и трубочек (так называемого эндоплазматического ретикулума), пронизывающего всю цитоплазму и играющего роль коммуникативной системы клетки. Крупные тельца — митохондрии, вырабатывающие энергию. 1 мкм (микрометр) равен 0,001 мм.